化疗联合中医治疗肺腺癌疗效探析
发布时间:2020/10/15
作者:
阅读量:
患者:安怀信,男性,73岁,主因“确诊肺鳞癌2月余。”于2019年8月20日收入我院。
现病史:2019年6月患者“咳嗽咯痰”于北京老年医院查胸部CT:左肺上叶病变,左肺上叶支气管内结节,性质待定双肺多发小结节;双肺感染性病变纵膈淋巴结增大。支气管镜:左主支气管黏膜不光滑,左上叶开口新生物堵塞,不除外肿瘤可能;免疫组化:CK(+),CK7(-),CK5/6(+),Ki-67(+40%),p63(+),TTF-1(-),P40(+),p53(-);特殊染色结果:抗酸。全身
现病史:2019年6月患者“咳嗽咯痰”于北京老年医院查胸部CT:左肺上叶病变,左肺上叶支气管内结节,性质待定双肺多发小结节;双肺感染性病变纵膈淋巴结增大。支气管镜:左主支气管黏膜不光滑,左上叶开口新生物堵塞,不除外肿瘤可能;免疫组化:CK(+),CK7(-),CK5/6(+),Ki-67(+40%),p63(+),TTF-1(-),P40(+),p53(-);特殊染色结果:抗酸。全身
骨显像:左侧第5、6前肋及右侧第6前肋放射性摄取增高,考虑成骨性骨转移合并病理性骨折。
入院症见:间断咳嗽、咳痰,咯白色粘痰,无明显血丝,乏力、气短,伴汗出,左侧胸部疼痛不适,NRS 3分,无左肩部放射痛,纳眠可,二便调。
查体:T 36.5℃ P 70次/分 R 18次/分 BP 123/68mmHg 神清语利,口唇轻度发绀,颈静脉无怒张。双肺叩诊呈清音,听诊双肺呼吸音粗,未闻及干湿啰音,心率70次/分,律齐,腹软,无压痛及反跳痛,肝脾未及,肠鸣音无亢进,双下肢无水肿。
中医查体:
神色形态:双目少神,面色欠润,毛发少光泽,形体适中。
声息气味:吐字清晰,无气喘,无呕吐,无异常气味;舌象:舌暗红,苔薄白腻,有裂纹;脉象:脉沉滑。
既往史:高血压病史。2016年因“阿斯综合征”行心脏起搏器植入术。吸烟史50余年,约40支/日,未戒断。
辅助检查:
神色形态:双目少神,面色欠润,毛发少光泽,形体适中。
声息气味:吐字清晰,无气喘,无呕吐,无异常气味;舌象:舌暗红,苔薄白腻,有裂纹;脉象:脉沉滑。
既往史:高血压病史。2016年因“阿斯综合征”行心脏起搏器植入术。吸烟史50余年,约40支/日,未戒断。
辅助检查:
(2019年7月北京老年医院)胸CT:左肺上叶病变,左肺上叶支气管内结节,性质待定双肺多发小结节;双肺感染性病变纵膈淋巴结增大:支气管镜:左主支气管黏膜不光滑,左上叶开口新生物堵塞,不除外肿瘤可能;免疫组化:CK(+),CK7(-),CK5/6(+),Ki-67(+40%),p63(+),TTF-1(-),P40(+),p53(-);特殊染色结果:抗酸;全身骨显像:左侧第5、6前肋及右侧第6前肋放射性摄取增高,考虑成骨性骨转移合并病理性骨折。
入院后完善检查:血常规、生化、凝血、心梗三项、心脏超声等检查未见明显异常。
入院中医诊断:肺积病-肺阴亏耗痰瘀互结证
入院西医诊断:肺鳞癌Ⅳ期骨转移高血压3级心脏起搏器状态高脂血症腔隙性脑梗塞肝血管瘤
西医治疗方案:GP方案化疗
7月19日、顺铂30mg d1-d3+吉西他滨1.6g d1、d8
8月22日顺铂30mg d2-d4+吉西他滨1.6g d1、1.4g d8
9月17日顺铂30mg d2-d4+吉西他滨1.6g d1、1.4g d8
中医以滋阴润肺解毒散结为主,具体药物如下:
南沙参30g 麦冬10g 醋五味子6g 石斛30g
玉竹10g 紫菀10g 款冬花10g 细辛3g
蝉蜕6g 清半夏9g 浙贝母10g 土贝母10g
中药外敷止痛(阿是穴),具体药物如下:
丁香6g 木香6g 全蝎10g 肉桂10g
干姜10g 炒枳壳10g 醋香附10g 延胡索10g
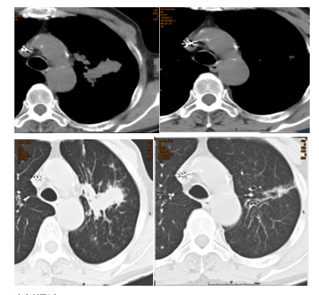
9月化疗后复查胸部CT:与2019-06-10比较,左肺上叶高密度影,明显缩小;双肺多发小结节,无著变。原双肺散在点状模糊阴影明显吸收。
6月10日(左)及9月11日(右))胸部CT对比
病例探讨:
(1)化疗方案:本患者采用GP方案3周期化疗,其中吉西他滨是一种具有独特作用机制和不良反应特点的新型抗嘧啶核苷酸代谢的化疗药物,它可以增加铂类化疗药物与 DNA 嵌合的稳定性并抑制损伤后的修复,故与铂类化疗药物之间有协同作用。患者采用GP方案治疗后,患者未见恶心呕吐等明显不适症状,并且化疗后复查胸部CT示肿块较前明显缩小,考虑GP方案疗效显著。
(2)中药口服:患者住院期间邀请北京中医药大学东方医院孙韬教授会诊病人,确立了中医治疗大法为滋阴润肺解毒散结,南沙参、石斛滋阴润肺止咳为君药;麦冬、玉竹养阴润燥生津止渴为臣药,半夏燥湿化痰解毒散结,土贝母清热化痰散结解毒,此四药共为臣药;紫菀、款冬、浙贝母花既能润肺又能止咳,无论寒热虚实皆可应用,五味子敛肺止咳,三者为佐药;细辛辛温,既可温肺化饮,又可引诸药入经。患者经口服中药汤药后,咳嗽咯痰、乏力、气短等明显好转,中药口服配合化疗治疗不仅改善了患者的症状,同时具有减毒增效的功效,在患者肺部肿块明显缩小中占有重要地位。
(3)中药外治:本患者左侧胸部疼痛不适,NRS 3分,给予我科特色中药穴位贴敷治疗,患者疼痛明显好转。将丁香、木香、全蝎、肉桂、干姜、炒枳壳、醋香附、延胡索混匀研为细末后,每次取30g,用醋蜜调成制成直径2cm,厚度3mm药饼,敷于疼痛点,每日1次,每次贴敷4-6小时。丁香、木香合用温阳行气、通络止痛,共为君药,二者辛香走窜,又可引诸药透皮而直达病。全蝎可引方中诸药直达病所,善走窜,可内达脏腑、外达经络、通利经络、透达关节、通络止痛,共为臣药。肉桂、干姜,同为佐药以甘热助阳,阳气可在经络中推动气血运行,可使疼痛局部的寒凝、气滞得以化解,从而增强温经通络止痛的疗效。延胡索活血行气止痛,枳壳、香附行气止痛共为使药。诸药合用以温阳理气止痛的功效。
入院后完善检查:血常规、生化、凝血、心梗三项、心脏超声等检查未见明显异常。
入院中医诊断:肺积病-肺阴亏耗痰瘀互结证
入院西医诊断:肺鳞癌Ⅳ期骨转移高血压3级心脏起搏器状态高脂血症腔隙性脑梗塞肝血管瘤
西医治疗方案:GP方案化疗
7月19日、顺铂30mg d1-d3+吉西他滨1.6g d1、d8
8月22日顺铂30mg d2-d4+吉西他滨1.6g d1、1.4g d8
9月17日顺铂30mg d2-d4+吉西他滨1.6g d1、1.4g d8
中医以滋阴润肺解毒散结为主,具体药物如下:
南沙参30g 麦冬10g 醋五味子6g 石斛30g
玉竹10g 紫菀10g 款冬花10g 细辛3g
蝉蜕6g 清半夏9g 浙贝母10g 土贝母10g
中药外敷止痛(阿是穴),具体药物如下:
丁香6g 木香6g 全蝎10g 肉桂10g
干姜10g 炒枳壳10g 醋香附10g 延胡索10g
9月化疗后复查胸部CT:与2019-06-10比较,左肺上叶高密度影,明显缩小;双肺多发小结节,无著变。原双肺散在点状模糊阴影明显吸收。
6月10日(左)及9月11日(右))胸部CT对比
病例探讨:
(1)化疗方案:本患者采用GP方案3周期化疗,其中吉西他滨是一种具有独特作用机制和不良反应特点的新型抗嘧啶核苷酸代谢的化疗药物,它可以增加铂类化疗药物与 DNA 嵌合的稳定性并抑制损伤后的修复,故与铂类化疗药物之间有协同作用。患者采用GP方案治疗后,患者未见恶心呕吐等明显不适症状,并且化疗后复查胸部CT示肿块较前明显缩小,考虑GP方案疗效显著。
(2)中药口服:患者住院期间邀请北京中医药大学东方医院孙韬教授会诊病人,确立了中医治疗大法为滋阴润肺解毒散结,南沙参、石斛滋阴润肺止咳为君药;麦冬、玉竹养阴润燥生津止渴为臣药,半夏燥湿化痰解毒散结,土贝母清热化痰散结解毒,此四药共为臣药;紫菀、款冬、浙贝母花既能润肺又能止咳,无论寒热虚实皆可应用,五味子敛肺止咳,三者为佐药;细辛辛温,既可温肺化饮,又可引诸药入经。患者经口服中药汤药后,咳嗽咯痰、乏力、气短等明显好转,中药口服配合化疗治疗不仅改善了患者的症状,同时具有减毒增效的功效,在患者肺部肿块明显缩小中占有重要地位。
(3)中药外治:本患者左侧胸部疼痛不适,NRS 3分,给予我科特色中药穴位贴敷治疗,患者疼痛明显好转。将丁香、木香、全蝎、肉桂、干姜、炒枳壳、醋香附、延胡索混匀研为细末后,每次取30g,用醋蜜调成制成直径2cm,厚度3mm药饼,敷于疼痛点,每日1次,每次贴敷4-6小时。丁香、木香合用温阳行气、通络止痛,共为君药,二者辛香走窜,又可引诸药透皮而直达病。全蝎可引方中诸药直达病所,善走窜,可内达脏腑、外达经络、通利经络、透达关节、通络止痛,共为臣药。肉桂、干姜,同为佐药以甘热助阳,阳气可在经络中推动气血运行,可使疼痛局部的寒凝、气滞得以化解,从而增强温经通络止痛的疗效。延胡索活血行气止痛,枳壳、香附行气止痛共为使药。诸药合用以温阳理气止痛的功效。
最新新闻
- 2023/11/21
- 2023/11/01
- 2023/09/04
- 2023/09/01
- 2022/02/25



