化脓性脑膜炎并发脑积水病例
发布时间:2020/10/26
作者:
阅读量:
患儿,男,出生时患新生儿肺炎,13天后继发化脓性脑膜炎,脑脊液细菌培养为:大肠埃希菌,经抗感染治疗后治愈,93天后出现脑积水。
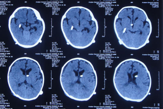
患儿3月龄时入我院,神智清楚,精神可,体温不高,双眼下视(落日征)明显,囟门彭隆,头围增大至41cm,CT:脑积水。
脑室外引流术前头颅核磁共振检查,脑室系统全增大。
入院当天行脑室外引流术,引流的脑脊液淡黄色,细菌培养为无细菌,经引流第34天查头CT时,发现:右侧颞角孤立性扩大,其余脑室系统明显缩小。
治疗第42天行右侧侧脑室颞角引流术,第47天复查头CT: 右侧颞角及其余脑室系统大小正常,第63天行双侧脑室分流术,第74天出院,头围减小至39cm(活泼好动,恢复正常。
患者5岁时再次院复查,活泼可爱。
最新新闻
- 2023/11/21
- 2023/11/01
- 2023/09/04
- 2023/09/01
- 2022/02/25



