微创手术成功治疗动脉瘤破裂脑出血案例一
我们常说的“脑卒中”本质就是脑血管病发作,特别是随着社会老龄化和城市化进程的加速,以及我们不健康的生活方式,脑血管发病率在逐年递增。目前,中国40~70岁居民中,发病率平均每年增长8.3%。如果能尽早进行脑血管筛查并尽早治疗可以减少致残率,或者一旦脑卒中发作尽快及时到医院就诊,可以提高生存几率和生存质量。近期,我院采用微创介入技术,连续成功的治疗了两例脑动脉瘤破裂导致的脑出血患者。
病例一:
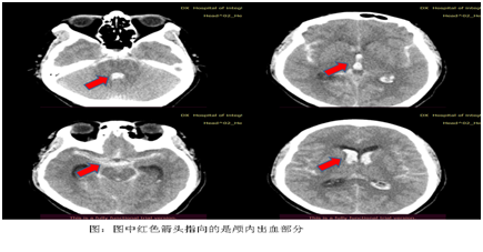
患者女,66岁,工作时突发头痛后,很快进入昏迷状态,由“120”转送至我院急诊。急诊立即开放脑卒中绿色通道,急诊头颅CT提示:弥漫多发蛛网膜下腔出血,双侧脑室、第三脑室、第四脑室内积血。
患者病情危重,中度昏迷,生命体征不稳定,为了迅速有效的救治患者,并减少治疗副损伤,我科张蓬川、何刚、巴特尔医生一致决定首选微创介入方法,全脑血管造影+动脉瘤栓塞术,同时先行左侧脑室额角引流术,立即启动我院MDT(多学科团队协作)。在庞海英、李杰医生和麻醉科、手术室、介入导管室、影像技术等多科室的积极配合下,一场“复合”手术紧张有序的展开了。
脑室血肿腔置管成功后,脑血管造影很快显示了导致出血的责任病灶,是右侧椎动脉发出小脑后下动脉段长了一个“跳棋”形态的囊状动脉瘤。(见下图)
动脉瘤并非是实心的肿瘤,是血管弹性的下降,是在血压的冲击下导致局部血管壁的凸出彭起,凸起的顶端壁是最薄弱的,也是这次发病的出血点。微创介入的方法就是从血管途径进入凸起的囊,采用柔性的弹簧圈,将动脉瘤囊致密填充,完全封堵破口。过程是紧张的,手术还是很顺利,完全闭塞了动脉瘤,椎动脉通畅(见下图)
手术历时2小时,患者顺利安排进入了重症ICU,因为是微创手术,术后随着患者脑室内的淤血被持续的引流出来,患者在术后七天逐渐苏醒,能够配合。而后复查的头颅CT也显示脑室内出血完全排除。
这名患者术后四周,步行出院。
最新新闻
- 2023/11/21
- 2023/11/01
- 2023/09/04
- 2023/09/01
- 2022/02/25



