微创手术成功治疗动脉瘤破裂脑出血案例二
发布时间:2022/01/07
作者:巴特尔、张蓬川
阅读量:
病例二:
患者男,35岁,主因突发剧烈头痛就诊,急诊头颅CT显示:蛛网膜下腔出血,右侧裂为主。我院MDT(多学科团队协作)评估后,考虑动脉瘤破裂出血,还是考虑首选微创介入治疗手术方案。
患者很年轻,我们尽快安排了介入手术,脑血管造影结果明确了出血的原因,右侧大脑中动脉瘤。
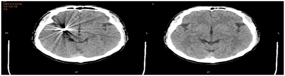
我们正确选择微创介入治疗,不需要开颅,尽可能的减少患者的副损伤,手术顺利,动脉瘤完全填塞,术后复查头颅CT,患者没有再出血。
患者术后病情恢复也一样的顺利,一周后复查头颅CT,颅内出血已经完全吸收(见下图),患者选择出院回家修养。
健康提示
脑卒中的十大危险因素:
高血压、高血脂、吸烟、缺乏运动、腹型肥胖、心脏疾病、饮食和营养、饮酒、糖尿病和心里因素。
脑卒中发病的五大诱因:
天气变化、情绪波动过大、熬夜与过度劳累、饮食不当、吸烟和饮酒。
最新新闻
- 2023/11/21
- 2023/11/01
- 2023/09/04
- 2023/09/01
- 2022/02/25



